Smile Brighter with Teeth Aligns
Your journey to a confident smile starts here—with clarity, care, and expertise.
Creating healthy smiles daily
At Teeth Aligns Orthodontics, we believe every smile tells a story—and we’re here to make yours shine brighter. Our mission is simple: to provide clear, comfortable, and effective aligner treatments that fit seamlessly into your lifestyle.
“create confident smiles by combining advanced technology, professional expertise.”
What we Treat





Our Treatment Plan
Why trust us? smile guaranteed!
Our experienced team ensures a comfortable and stress-free experience for every visit, prioritizing your care and satisfaction.
We follow a patient-centric approach to ensure a smooth and comfortable dental experience.
01
Consultation Phase
Our consultation phase involves a thorough assessment to understand your dental needs and create a personalized treatment plan.
02
Treatment Plan
Our treatment plan is tailored to address your specific dental concerns with effective and personalized care solutions.
03
Smile Transformation
Our smile transformation phase enhances your oral health and aesthetics for a confident, radiant smile.
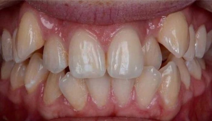
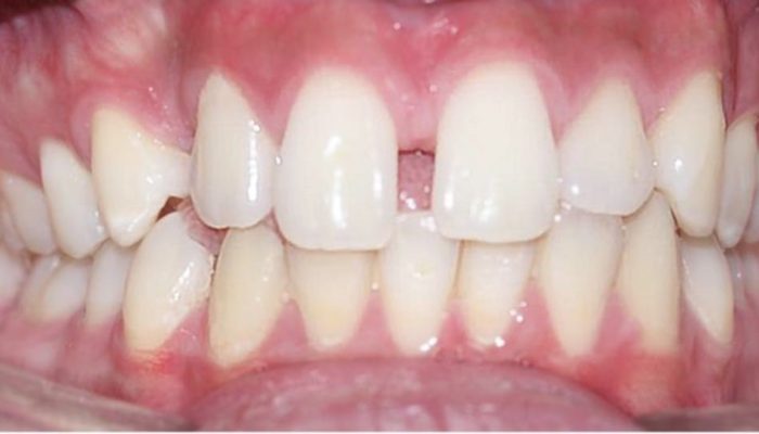
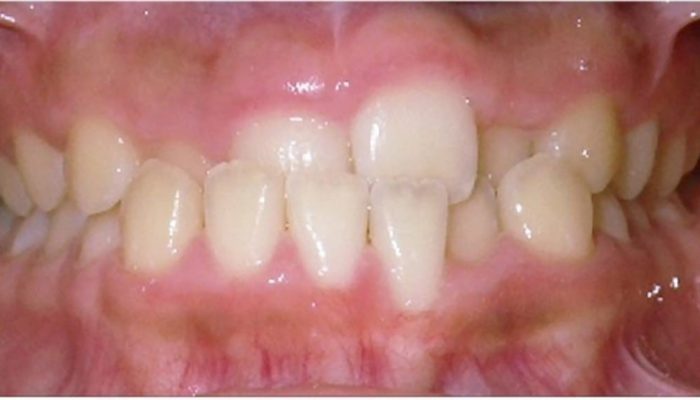
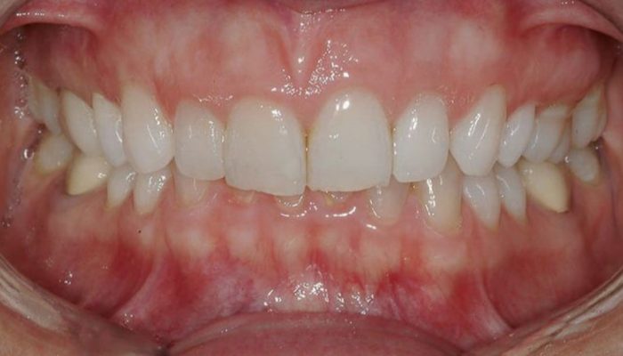
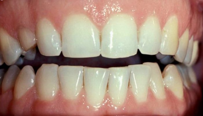
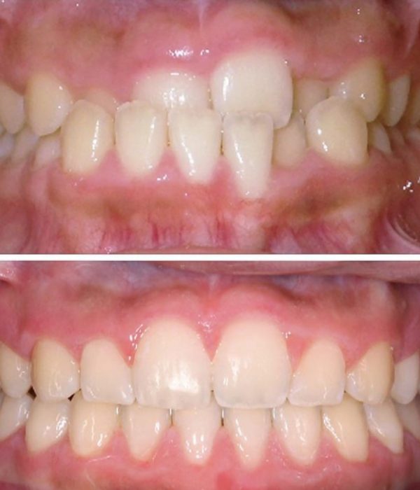
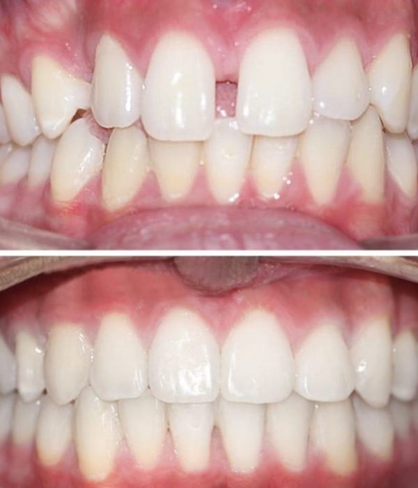
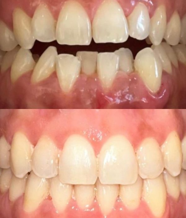
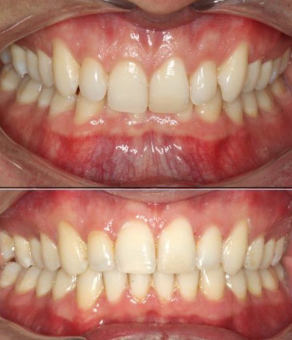
Transformations that speak for themselves




Here From Our Clients
Frequently Asked Questions
What are clear aligners?
Clear aligners are transparent, custom-made trays that gently move your teeth into the desired position without the need for metal braces.
How do clear aligners work?
Aligners apply controlled pressure on your teeth, gradually shifting them into alignment over time.
Who can benefit from clear aligners?
Both teens and adults with mild to moderate teeth misalignments, spacing, or bite issues can benefit.
How long does treatment take?
Most treatments take between 6 to 18 months, depending on individual cases.
How often should I wear my aligners?
For best results, wear them 20–22 hours a day, removing only for eating, drinking (except water), and brushing.
How much do clear aligners cost?
Cost varies depending on case complexity, but we offer customized treatment plans to fit your needs.